〒465-0035 愛知県名古屋市名東区豊が丘207
TEL 052-768-4418 FAX 052-768-4419
駐車場/6台完備
自転車をご利用の方は、耳鼻科の屋根付き駐輪場もご利用ください。
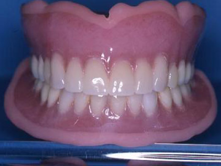
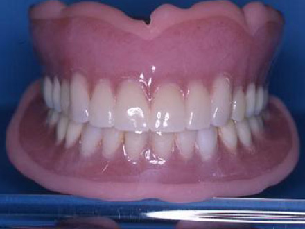
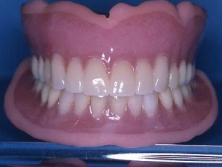
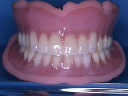
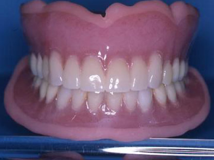
しっかり噛めて、美しい入れ歯治療。
当院では、外来・往診を問わず、入れ歯の治療をとても大切にしています。
歯を失ったからといって、どうか食べたいものを諦めないでください。まずは「入れ歯カウンセリング」で皆さまの入れ歯でのご苦労、ご経験を共有させていただいたうえで、現在の状態を分析させていただきます。
一人ひとりにぴったりの入れ歯を作る計画を立てます。
そして、今までの合わない入れ歯の癖を取り除くリハビリを行いながら、最新の設備・技術・材料を駆使して、専属の歯科技工士と共に最適な入れ歯を作りあげていきます。
丁寧に仕立てた入れ歯は、ただ食事を楽しむだけでなく、より若々しい口元の演出や快適な装着感を実現します。
一人ひとりにぴったりの入れ歯を作る計画を立てます。そして、今までの合わない入れ歯の癖を取り除くリハビリを行いながら、最新の設備・技術・材料を駆使して、専属の歯科技工士と共に最適な入れ歯を作りあげていきます。
※一人ひとりに最適なご提案ができるよう、さまざまな治療方法(健康保険から自費診療まで)について、日々技術の向上に努めています。

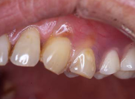
精密義歯 BPSシステム
(リヒテンシュタイン・Ivoclar Vivadent 社)

金属床義歯

シリコーン義歯
(Loop社・バイオ・シリコーン システム)

ノンクラスプデンチャー
(とめ金・針金のない審美部分入れ歯)
work by DT. Yasunori Kato (Laboratory Of Oral Principle)