〒465-0035 愛知県名古屋市名東区豊が丘207
TEL 052-768-4418 FAX 052-768-4419
駐車場/6台完備
自転車をご利用の方は、耳鼻科の屋根付き駐輪場もご利用ください。
最先端の設備で、体に優しい診査・診断を。
当院は先進的な医療を提供するため、つねに最先端の設備や器材を整える努力をしています。
当院が目指す、次世代の医療のカタチとは…
これらを叶えるため、当院では以下の設備を揃えています。
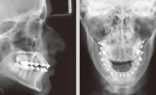
CTレントゲン、セファロレントゲンは最先端のデジタルレントゲンオーソフォスXG。
拡大された視野がより正確な診断をサポートします。
歯を削ったり、放射線を使用したりせず、痛みを伴わない虫歯の診査・診断が可能です。予防処置後の経過観察にも効果的です。
虫歯や歯周病の原因はバイ菌(細菌)です。普段見ることはできませんが、顕微鏡で拡大、モニターで確認していただき、症状の理解と予防法をご説明します。
どこが悪く、なぜ治療が必要なのか?経過は?治療結果は?そんな疑問に、口腔内写真を使ってご説明します。
一人ひとりの診断書を作成する専用ソフトを準備しています。専門用語は難しい、だからこそ、納得の治療計画をわかりやすく解説します。
塗るだけの表面麻酔薬を併用し、麻酔薬の温度と注入速度をコンピューターで最適化して、無痛的な処置を目指します。
通常の歯を削る器械に比べ、不快な音や振動が大幅に軽減されています。
より無痛に近い治療を追求して開発されたレーザー治療器で、歯周病、口内炎、根管治療、外科処置など、多くの治療で有効です。
歯を削る器械は、患者さまごとに交換、滅菌処理をすることで、院内感染の防止に努めています。
体調の急変に備え、AED、生体モニター、救急薬剤など、つねに緊急対応の準備を整えています。
歯の根が生えているのは、アゴの骨のなか。どうしても診断にはレントゲン撮影が欠かせません。当院で採用している最新式の歯科用CTレントゲン装置は、医科用の一般的な頭部CTに比べ、約1/30の放射線量による撮影が可能で、目には見えない体への負担を軽減します。
